
Undgå nerveskader ved fjernelse af 8-8...
v/Tandlæge Henrik Gutte Koch
Henrik Gutte Koch fra Bagsværd Tandlægecenter har som henvisningspraksis stor erfaring i fjernelse af underkæbens visdomstænder. Han gennemgår både litteraturen og videregiver sine egne erfaringer med, hvordan man bedst muligt undgår nerveskader.
Risiko for komplikationer
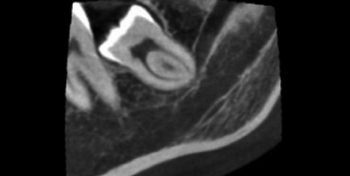
Ved gennemgang af litteraturen er en række komplikationer ved fjernelse af mandiblens visdomstand velbeskrevet. Kort kan nævnes postoperativ infektion, trismus, eftersmerter, dry socket, mandibel fraktur, beskadigelse af nabotand samt beskadigelse af nervus alveolaris inferior og nervus lingualis. Sensoriske komplikationer ved kirurgisk fjernelse af 8-8 er ikke helt sjældne, og der angives en hyppighed af skader på nervus alveolaris inferior svarende til 0,5-22 %. Risikoen stiger, jo dybere tanden er retineret, jo mere oralt den er lokaliseret, og jo tættere relationerne er til canalis mandibularis. Risiko for mere permanente skader, hvor de sensoriske forstyrrelser varer mere end 6 måneder, angives til 1-4 % med en overvægt omkring 1 % (fig. 1, 2 og 6). Risikoen kan synes lav, men skaden er forbundet med en alvorlig komplikation for patienten.
Koronektomi eller total fjernelse?
Koronektomi er en nyere beskrevet teknik, hvor primært tandens krone fjernes, mens de mest apikale dele af rodspidserne i relation til canalis mandibularis efterlades. En forudsætning for denne teknik er en vital pulpa samt fravær af infektiøse tilstande omkring tænder, der kan være frembrudte eller helt eller delvist retinerede. En ulempe ved teknikken er en angivet risiko for infektion og et behov for senere kirurgisk fjernelse af efterladte rodstumper. En nyere review article (4) gennemgår de fire vigtigste kontrollerede og randomiserede undersøgelser, der sammenligner koronektomi med total fjernelse. Alle cases stammer fra oral-kirurgiske specialafdelinger, hvor der var særlig høj risiko for nerveskade som følge af tæt relation til canalis mandibularis. Resultatet af de 940 patienter viste, at 7,8 % (42 tilfælde) af de totalt fjernede tænder blev registreret som såkaldte "nerve events" mod kun 1,5 % (2%) i gruppen af koronektomerede tænder. Der var ingen forskel mht. postoperativ infektion og dry socket, men signifikant flere eftersmerter i gruppen med total fjernelse af tænderne. Hos 2 % af de koronektomerede tænder var det efterfølgende nødvendigt operativt at fjerne de efterladte rodstumper.
Diagnostik og indikation for 3D
Såfremt nervekanalens kortikallamel mangler ud for rodens overlap, angives en risiko for midlertidig eller permanent nerveskade på 11,8-30 % (fig. 1 og 2). En formørkning af roden ud for kanalen eller en ændring i dens volumen og forløb (oftest indsnævring) er andre indikationer for umiddelbar relation mellem nerve og rod (2). Hyppigheden af tandens umiddelbare relation til nerven er størst, når kanalen ligger oralt for tanden, mindre ved beliggenhed lige under tandens rodspidser, og mindst hvor kanalen er beliggende bukkalt for tanden. På alle konventionelle 2D røntgenbilleder, der viste overlap af kanalen, kunne der ved 3D cone beam optagelser konstateres en fuldstændig adskillelse mellem nervus alveolaris inferior og tanden i 33 % af tilfældene.
Når tanden overlapper canalis mandibularis, er det altså vigtigt at konstatere ved supplerende undersøgelser, hvorvidt tanden er i umiddelbar relation til nervus alveolaris inferior Her er en 3D cone beam optagelse indiceret.
I en nyere dansk undersøgelse (5) vurderede kirurgen først behov for koronektomi eller konventionel total fjernelse af visdomstanden efter diagnostik på panoramaoptagelse og herefter på en 3D cone beam optagelse. I 12 % af tilfældene blev behandlingen ændret efter diagnostik med 3D optagelsen. Og der blev foretaget 37,5 % flere koronektomier end først planlagt ud fra 2D optagelserne.
Konklusion
Hos Bagsværd Tandlægecenter tages altid 3D cone beam optagelse inden kirurgisk fjernelse af alle tænder, hvor rødder overlapper canalis mandibularis. Ofte vælges en koronektomi ved nær relation mellem rod og kanal. Hvor tanden skønnes i direkte kontakt med nervus alveolaris inferior, henvises patienten til Tand-, Mund- og Kæbekirurgisk specialafdeling, hvis ikke koronektomi vælges.
Er du interesseret i at vide mere om 3D røntgen, er du velkommen til at kontakte:
Johnny Melohn, tlf: 20 11 15 46 eller på mail johnny.melohn@plandent.dk
Litteratur
1. G. Juodzbalys et al: Mandibular Third Molar Impaction: Review of Litterature in: J.Oral maxillofac. Res. 2013, 4, 2013.
2. Jun, S.H.et al. Anatomical differences in lower third molars visualized by 2D and 3D X-ray imaging: clinical outcomes after extraction. int.J Oral maxillofac. 2013;42: 489-496.
3. Valmaseda- Castellon E et al: inferior nerve damage after lower third molar surgical extraxtions; a prospective study of 1117 surgical extractions. In: Oral surg oral Med oral pathol Oral Radiol Endod 2001;92:377-83.
4. Long H et al. Coronectomy vs. Total Removal for Third Molar extraction: A systematic Review. In: J dental Research 91 (7):659-665, 2012.
5. Matzen LH et al: Influence of Cone Beam CT on treatment plan before surgical intervention of mandibular 3. Molara and impact of radiografic factors on deciding on Coronectomy vs surgical removal. In: Dentomaxillo fac Radiol 2013;42.
6. Rinton, T et al: A randomized, controlled clinical trial to compare the incidence of injury to the inferior alveolar nerve as a result of coronectomy and removal of mandibular third molars. in: Br.j oral maxillofac Surg 2005;43(1)7-12.






